รพ.กรุงเทพ เสริมความแม่นยำในการวินิจฉัยภาพถ่ายเอกซเรย์ทรวงอก โดยใช้นวัตกรรมปัญญาประดิษฐ์ AI :

ในปัจจุบันปัญหาการขาดแคลนรังสีแพทย์และบุคลากรทางการแพทย์ด้านรังสีวิทยา นับเป็นปัญหาสำคัญด้านสาธารณสุข ซึ่งอาจส่งผลให้คนไข้จำนวนมากได้รับการวินิจฉัยและรักษาล่าช้ากว่าที่ควรจะเป็น โรงพยาบาลกรุงเทพได้เล็งเห็นความสำคัญและเลือกใช้นวัตกรรมปัญญาประดิษฐ์ ( Artificial Intelligence ), Inspectra CXR มาเป็นผู้ช่วยแพทย์อัจฉริยะที่สามารถวิเคราะห์ความผิดปกติจากภาพรังสีทรวงอกได้อย่างละเอียด รวดเร็ว แม่นยำ และมีความโดดเด่นเฉพาะตัวที่สามารถตอบโจทย์การปฏิบัติงานของแพทย์ได้อย่างตรงจุด

นวัตกรรมปัญญาประดิษฐ์ หรือ ระบบ AI นี้ จะแปลผลภาพแบบอัตโนมัติโดยไม่ต้องป้อนคำสั่งใด ๆ ผลรายงานจะปรากฏขึ้นทันทีผ่านหน้าจอการทำงานของรังสีแพทย์ และมีการออกแบบให้สามารถปรับการทำงานให้เข้ากับระบบไอทีที่แตกต่างกันของแต่ละโรงพยาบาลได้อย่างราบรื่น ทั้งยังรองรับระบบการทำงานทางไกลรวมถึงหน่วยการตรวจเอกซเรย์เคลื่อนที่ได้อีกด้วย

นพ.ดุลย์ ดำรงศักดิ์ ผู้ช่วยประธานคณะผู้บริหาร กลุ่ม 1 โรงพยาบาลกรุงเทพ กล่าวว่า AI เป็นอีกหนึ่งเทคโนโลยีที่ได้นำมาใช้กับงานรังสีวิทยา โดยทางโรงพยาบาลกรุงเทพได้เลือกเทคโนโลยี Inspectra CXR ด้วยเหตุผลที่ว่ามีความถูกต้องแม่นยำและเป็นเทคโนโลยีที่พัฒนาด้วยคนไทย เพราะฉะนั้นการวินิจฉัยโรคโดยเฉพาะที่เกี่ยวข้องกับเรื่องของโรคคนไทยจะได้ความแม่นยำสูง เช่น วัณโรค ที่ต่างชาติเองที่ยังมีเคสไม่มาก หลังจากที่ทางโรงพยาบาลได้นำ AI มาใช้ในการประมวลผลก็สามารถวิเคราะห์ได้อย่างถูกต้องและได้รับการยอมรับจากรังสีแพทย์ว่าได้ผลลัพธ์ที่ตรงและสามารถนำไปใช้ได้จริง ทั้งนี้การดูแลข้อมูลของคนไข้ นอกจากจะช่วยในการวินิจฉัยแล้ว ระบบ AI นี้ยังสามารถเชื่อมต่อกับระบบของโรงพยาบาลซึ่งมีความปลอดภัยในการป้องกันข้อมูลของผู้ป่วย ด้านสาธารณสุขของประเทศไทยยังขาดผู้เชี่ยวชาญสาขารังสีวิทยาที่จะดูแลคนไข้ได้ทั้งประเทศ เพราะฉะนั้น การใช้เทคโนโลยีเอไอ นับเป็นอีกหนึ่งตัวช่วยที่ทำให้คนไข้ได้รับการวินิจฉัยได้มากขึ้น

พญ. เกวลิน รังษิณาภรณ์ รังสีแพทย์ ผู้อำนวยการกลุ่มงานทางคลินิกด้านอายุรศาสตร์ โรงพยาบาลกรุงเทพ กล่าวว่า ในปัจจุบันงานด้านรังสีวิทยามีความก้าวหน้าไปมาก ภาพถ่ายทางรังสีมีส่วนสำคัญในการช่วยประกอบการวินิจฉัยโรคและการติดตามผลการรักษาของแพทย์ ภาพถ่ายทางรังสีมีหลากหลายชนิด ส่งผลให้ภาระงานในแต่ละวันของรังสีแพทย์มีมากขึ้นตามไปด้วย รวมถึงข้อจำกัดต่างๆที่อาจทำให้เกิดความผิดพลาดในการวินิจฉัย เช่นข้อจำกัดทางเทคนิคที่ภาพถ่ายเอกซเรย์ปอดเป็นภาพ 2 มิติอาจบดบังความผิดปกติเนื่องจากเงาอวัยวะที่ซ้อนทับกันได้, รอยโรคที่มีขนาดเล็กมาก, ความเหนื่อยล้าของรังสีแพทย์ เป็นต้น

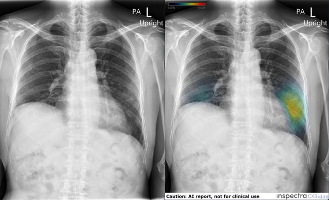
ซึ่งการนำระบบ AI มาใช้ เสมือนเป็นผู้ช่วยรังสีแพทย์ เพื่อให้อ่านผลได้อย่างความถูกต้อง แม่นยำ ทำให้ความผิดพลาดน้อยลง และยังสามารถช่วยจัดลำดับความเร่งด่วนในการอ่านผลสำหรับคนไข้ที่มีผลผิดปกติเร่งด่วน ทำให้คนไข้จะได้รับการรักษาที่ทันท่วงที Inspectra CXR สามารถบอกความผิดปกติได้ครอบคลุม รอยโรคที่สำคัญหลายอย่างในภาพเอกซเรย์ปอด การใช้งานง่าย ไม่เพิ่มภาระในการทำงานให้กับรังสีแพทย์

เทคโนโลยี AI เป็นเทคโนโลยีเปลี่ยนโลก AI จะมีความก้าวหน้ามากขึ้นเรื่อยๆ และสามารถนำมาใช้ประโยชน์ในวงการแพทย์หลากหลายสาขา สุดท้ายแล้วการทำงานของรังสีแพทย์จะมีความถูกต้อง แม่นยำมากขึ้น ทำงานได้สะดวกรวดเร็ว ความผิดพลาดน้อยลง จะส่งผลให้การดูแลรักษาผู้ป่วยมีประสิทธิภาพมากยิ่งขึ้น

สุพิชญา พู่พิสุทธิ์ ประธานเจ้าหน้าที่บริหาร บริษัท เพอเซ็ปทรา จำกัด กล่าวว่า เทคโนโลยีปัญญาประดิษฐ์เป็นเทคโนโลยีที่ค่อนข้างใหม่ในประเทศ แต่ปัจจุบันทั่วโลกให้การยอมรับสำหรับการนำไปใช้งานและสามารถช่วยแพทย์ได้จริง โรงพยาบาลกรุงเทพเล็งเห็นถึงความสำคัญและมีวิสัยทัศน์ในการนำเทคโนโลยีมาประยุกต์ใช้ เพื่อยกระดับการให้บริการผู้ป่วยให้ดีขึ้นอย่างสม่ำเสมอ ไม่ว่าจะเป็นการนำระบบปัญญาปะดิษฐ์มาใช้เป็นเพื่อนคู่คิดของแพทย์รังสี ช่วยเตือนตำแหน่งรอยโรคที่บางครั้งอาจยากที่จะเห็นได้ด้วยสายตามนุษย์ หรือการนำเทคโนโลยีมาทำให้ระบบการทำงานของแพทย์มีประสิทธิภาพดียิ่งขึ้นและให้บริการผู้ป่วยได้เพิ่มมากขึ้นอีกด้วยระบบ Inspectra CXR เป็นซอฟต์แวร์ปัญญาประดิษฐ์ที่พัฒนาขึ้นเพื่อเพิ่มประสิทธิภาพในการทำงานของแพทย์ โดย AI ถูกเทรนให้มีความไวสูงในการตรวจจับรอยโรคบนภาพถ่ายเอกซเรย์ทรวงอก สามารถบ่งชี้ตำแหน่งที่ผิดปกติ รอยโรคที่อาจมีขนาดเล็ก หรือรอยโรคที่ทับซ้อนกับอวัยวะอื่นได้ โดยระบบ AI จะทำงานร่วมกับแพทย์เพื่อช่วยให้แพทย์ตัดสินใจได้เร็วขึ้นและผิดพลาดน้อยลง ระบบ Inspectra CXR เป็น AI มีประสิทธิภาพเทียบเคียงกับ AI ที่ดีที่สุดในเวทีโลก และถูกเทรนจากภาพถ่ายเอกซเรย์คุณภาพสูงจากกว่า 1.5 ล้านภาพทั่วโลก โดยเป็นภาพถ่ายของคนไทยมากกว่า 40% ทางบริษัทนำเอาอัลกอริทึมความแม่นยำสูงที่สามารถตรวจจับครอบคลุมทุกรอยโรคมาผนวกกับเทคโนโลยีอื่นที่ตอบโจทย์โรงพยาบาลเช่น ระบบรักษาความปลอดภัยของข้อมูลที่เข้มแข็ง และระบบจัดการข้อมูลที่ทันสมัย ทั้งหมดนี้ทำให้ Inspectra CXR เป็นแพลตฟอร์มที่สร้างมาตรฐานใหม่ในการวินิจฉัยภาพถ่ายทางการแพทย์ได้
